
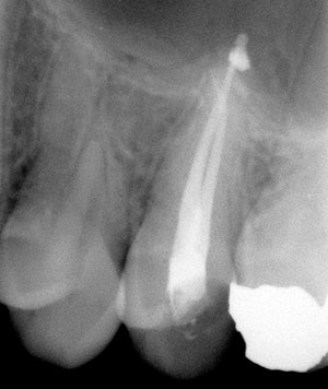
Uno de los tratamientos más utilizados en la clínica dental es la endodoncia o desvitalización. Se trata de extraer por completo la pulpa dental (nervio/s de la pieza), después se rellenaran los conductos con un cemento antibacteriano y unas puntas de resina. Esto permitirá conservar la pieza propia.
Las endodoncias se realizan a piezas en las que la caries ha llegado a la pulpa dental, inflamándola e infectándola.
La aparición de pulpitis causada por algunos traumatismos, o la abrasión y el desgaste de los dientes por el roce entre ellos (bruxismo) también requieren la realización de la endodoncia.
Es necesario saber que las piezas endodonciadas al terminar dicho tratamiento quedan más frágiles y su grado de resistencia es inferior por lo cual se aconseja colocar una corona de metal cerámica. Esto evitara su posible fractura y ocultara el cambio de color (normalmente grisáceo) de la pieza endodonciada.
ENDODONCIA ROTATORIA
En Clínica Dental Amigo el procedimiento lo realiza un odontólogo especialista (endodoncista) con un motor especial de endodoncias que hace que se acorte sensiblemente el tiempo del tratamiento y se consigue un rango mayor de éxito en la eliminación de bacterias. Durante todo el tratamiento el endodoncista necesitara hacer alguna radiografía de control.
En nuestra clínica disponemos de radio visiografía digital (rvg), más rápida y con mucha menos radiación para el paciente que las radiografías manuales.

